Kharsa Clinics

Dear User !

this page is opened in, in-app browser please, for better experience please switch a known browser.

Search

Need Help?

Our Smiles

Our Smiles Our Smiles

Scroll Down

Doctor
Specialty
Sort By
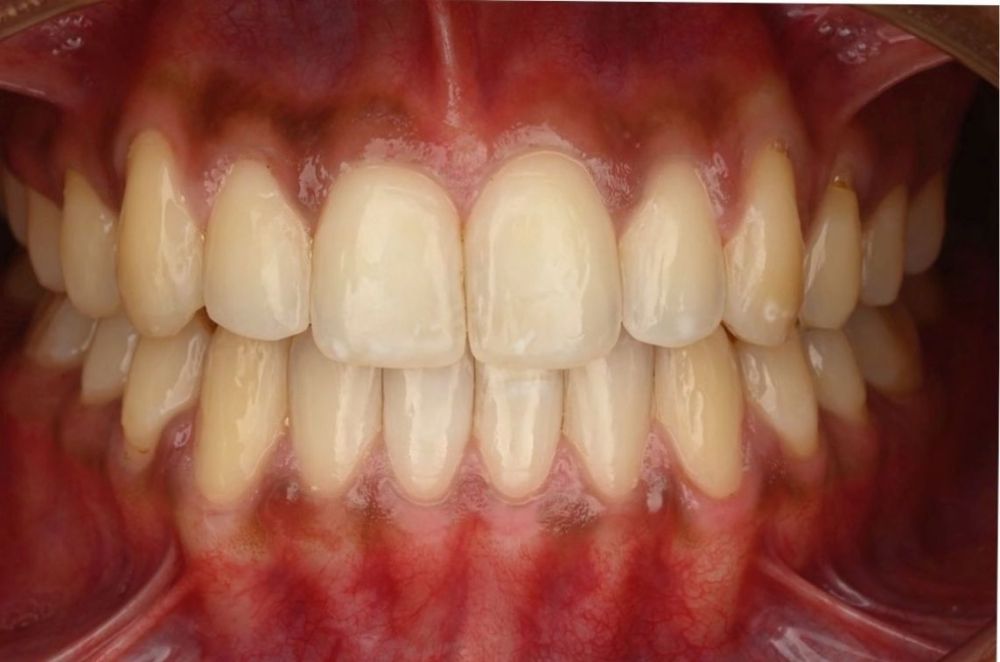
Before After

Ortho-Restorative Collaboration for Gap Correction

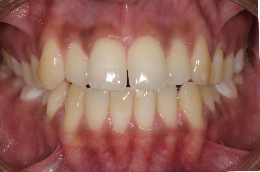
Before After

Misalignment and Deep Overbite

Before After

Fixing Midline Gaps and Bite Alignment with Invisalign

Before After

Class II, Anterior Open Bite

For better web experience, please use the website in portrait mode