Kharsa Clinics

Dear User !

this page is opened in, in-app browser please, for better experience please switch a known browser.

Search

Need Help?

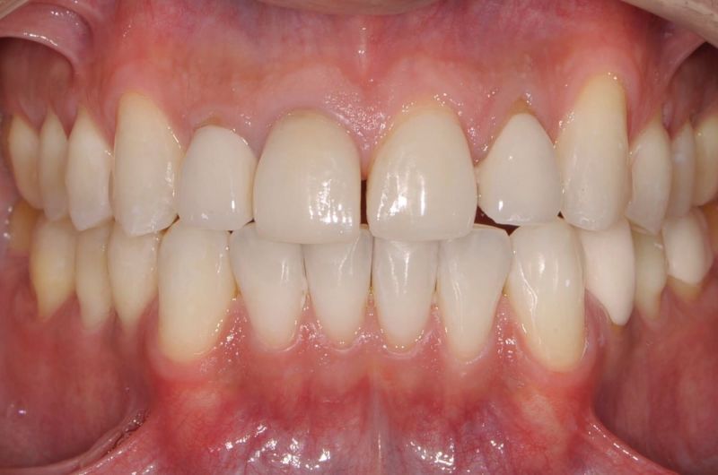
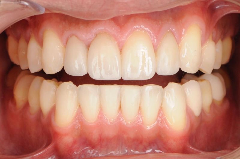
Crown Replacement for Better Oral Health and Aesthetics

Case Summary

This patient came complaining of spacing between the teeth and an unpleasant smell. We found the crowns to be poorly designed and fitted leading to food impaction, bad odor and a substandard aesthetic. All crowns were replaced to restore the natural look of the teeth with the proper fit providing the patient with a healthy and beautiful smile.

 

Services Provided

  1. Aesthetic Dentistry

Treating Doctors

Dr. Nidal Shakaki

“I’m passionate about dentistry, and I translate that passion into art and beauty to impact people’s lives with exceptional dentistry.”

Dr. Nidal Shakaki

Specialist in Restorative and Aesthetic Dentistry

Our Smiles

Transforming Smiles, Changing Lives

Before After
Before After
Before After
Before After

Ready to schedule your visit?

You’re the reason we’re here, and we look forward to seeing you.

For better web experience, please use the website in portrait mode