Kharsa Clinics

Dear User !

this page is opened in, in-app browser please, for better experience please switch a known browser.

Search

Need Help?

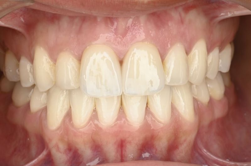
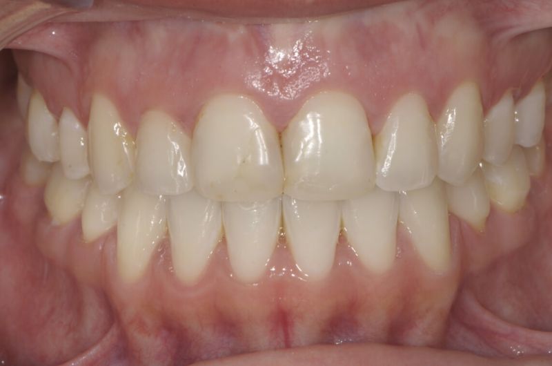
Aesthetic Enhancement with Six Upper Veneers

Case Summary

In this aesthetic dental case, the patient presented with concerns about spaces between their teeth and small tooth size. Following an evaluation, a treatment plan of six upper veneers was recommended. Veneers, thin porcelain shells custom-designed to fit over the front surface of teeth, were utilized to address these concerns. The outcome of the treatment was a natural-looking smile, effectively closing the spaces between the teeth and enhancing their size and shape.

 

Services Provided

  1. Aesthetic Dentistry

Treating Doctors

Dr. Nidal Shakaki

“I’m passionate about dentistry, and I translate that passion into art and beauty to impact people’s lives with exceptional dentistry.”

Dr. Nidal Shakaki

Specialist in Restorative and Aesthetic Dentistry

Our Smiles

Transforming Smiles, Changing Lives

Before After
Before After
Before After
Before After

Ready to schedule your visit?

You’re the reason we’re here, and we look forward to seeing you.

For better web experience, please use the website in portrait mode