Kharsa Clinics

Dear User !

this page is opened in, in-app browser please, for better experience please switch a known browser.

Search

Need Help?

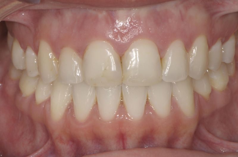
Achieving Color Stability and Smile Enhancement

Case Summary

The patient presented with a recurring issue of discolored fillings on the upper central incisors, necessitating yearly replacements. Seeking a more durable solution without altering the natural tooth structure, the dentist meticulously replaced the fillings and applied two lumineers to enhance the appearance of the teeth. Additionally, the front teeth were lengthened to improve the smile arc. As a result, the final outcome not only achieved color stability but also contributed to an aesthetically pleasing smile.

 

Services Provided

  1. Aesthetic Dentistry

Treating Doctors

Dr. Nidal Shakaki

“I’m passionate about dentistry, and I translate that passion into art and beauty to impact people’s lives with exceptional dentistry.”

Dr. Nidal Shakaki

Specialist in Restorative and Aesthetic Dentistry

Our Smiles

Transforming Smiles, Changing Lives

Before After
Before After
Before After
Before After

Ready to schedule your visit?

You’re the reason we’re here, and we look forward to seeing you.

For better web experience, please use the website in portrait mode