Kharsa Clinics

Dear User !

this page is opened in, in-app browser please, for better experience please switch a known browser.

Search

Need Help?

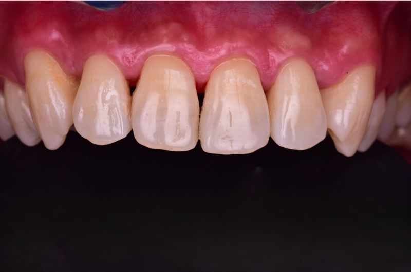
Natural Aesthetic Restoration of Front Tooth Cavities

Case Summary

Cavities (carries) in front teeth represent a big challenge when it comes to achieving proper color and aesthetics. Our Aesthetic dentist provided the patient with a perfectly natural look and color in restoring two cavities on the front teeth.

 

Services Provided

  1. General Dentistry

Treating Doctors

Dr. Nidal Shakaki

“I’m passionate about dentistry, and I translate that passion into art and beauty to impact people’s lives with exceptional dentistry.”

Dr. Nidal Shakaki

Specialist in Restorative and Aesthetic Dentistry

Ready to schedule your visit?

You’re the reason we’re here, and we look forward to seeing you.

For better web experience, please use the website in portrait mode