Kharsa Clinics

Dear User !

this page is opened in, in-app browser please, for better experience please switch a known browser.

Search

Need Help?

Resolving Open Bite, Protrusion and Spacing with Invisalign

Case Summary

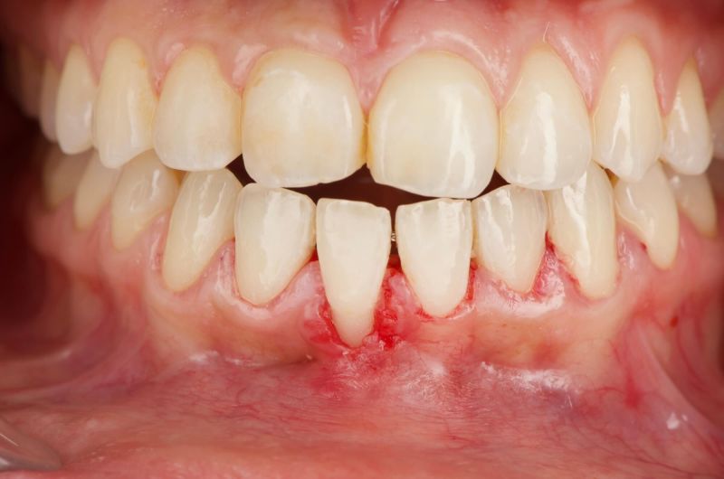
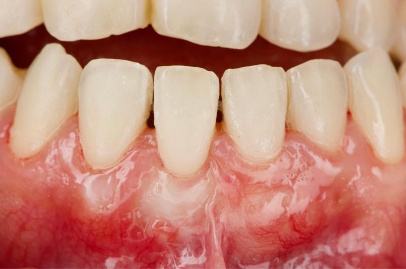
The patient expressed dissatisfaction with their smile. She had undergone orthodontic treatment in another clinic about 10 years ago but experienced a relapse which included an open bite, protrusion, spaces between teeth and a gummy smile. She also exhibited a tongue-thrusting habit. Our orthodontist devised a treatment plan using clear aligners (Invisalign) that didn't involve extracting teeth. Through this method, the patient's teeth were gently guided into their ideal position, resulting in improved biting function and a more confident smile. Additionally, a gingivectomy was performed in another clinic to further enhance the aesthetics of the smile.

 

Service Provided

  1. Orthodontics

Treating Doctors

Dr. Mutaz Qutob

"Orthodontics gives me the opportunity to apply my passions for both art and science, and I treat every patient as if they were a family member."

Dr. Mutaz Qutob

Consultant Orthodontist

Our Smiles

Tranforming Smiles, Enhancing Lives

Before After
Before After
Before After
Before After
Before After
Before After
Before After
Before After
Before After
Before After
Before After
Before After
Before After
Before After
Before After
Before After
Before After
Before After

Ready to schedule your visit?

You’re the reason we’re here, and we look forward to seeing you.

For better web experience, please use the website in portrait mode